付昆教授带队查房 关心病人恢复情况并指导康复锻炼
近日,我院多学科协作(MDT)团队迎难而上,成功为一名95岁高龄、合并严重心力衰竭的极高危患者,实施了右侧人工股骨头置换术。患者术前术后四次经历心衰与休克险境,在MDT团队,尤其是呼吸内科与重症医学科/ICU团队的全程精密护航下,最终化险为夷,于3月7日顺利转出ICU,目前康复进程良好。
外院判“禁” 九旬老人股骨颈骨折求医无门
患者因外伤致右髋部骨折,此前因95岁超高龄及严重心脏病史(曾两次电击除颤),被外院评估为“手术禁忌”,建议保守治疗。为求手术机会,家属慕名转入我院关节外科。

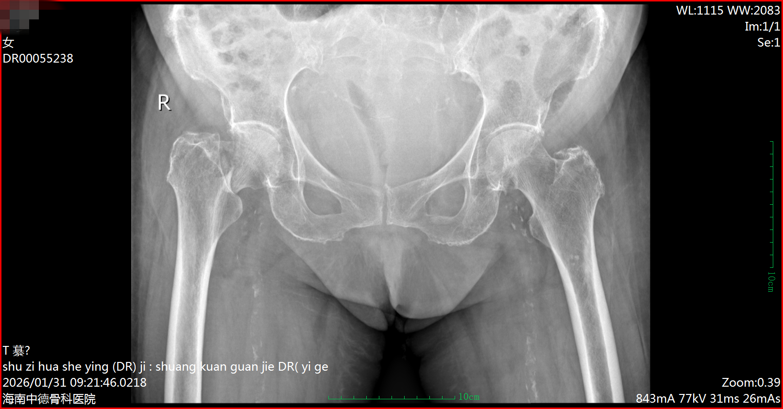
术前DR片
入院后,挑战骤然升级。2月25日,患者因排便用力突发急性左心衰竭、心源性休克,病情急转直下,立即被转入ICU抢救。患者还同时患有冠心病、房颤、严重高血压、肝功能不全等多种高危疾病,手术风险呈几何级数攀升。
MDT精准拆弹 为生命创造“手术窗”
面对“超高龄+严重心衰+休克”的极限组合,医院迅速启动顶级MDT会诊。关节外科、呼吸内科、重症医学科/ICU、麻醉科、影像科等核心团队反复研判,为患者量身定制“生命方案”。
其中,围手术期心、肺功能的管理与支持成为决胜关键。呼吸与重症医学科兼ICU主任杨丽云带领ICU团队,承担了最严峻的术前调理与术后守护重任。
术前守护,扭转危局:在决定手术至手术前的关键两天里,杨丽云主任全程守护在ICU,牵头组织抢救,精准实施抗心衰、抗休克治疗,严密纠正心律失常、电解质紊乱及凝血功能障碍,将患者从生死边缘拉回,并全力将其心、肺功能调整至可耐受手术的“极限安全窗口”。
麻醉护航,微创精准:麻醉科宋歌主任制定个体化硬膜外麻醉方案,最大限度维持循环稳定。关节外科付昆教授团队执行微创手术,术中出血不足100ml,操作轻柔快速。
术后监护,全程护航:手术成功只是第一步。患者术后再度出现休克风险,杨丽云主任带领的ICU团队再次开启24小时不间断的全程守护,实施个体化抗心衰、抗感染、生命支持等综合治疗,严密防控多器官功能衰竭,助患者平稳渡过术后最危险的阶段。

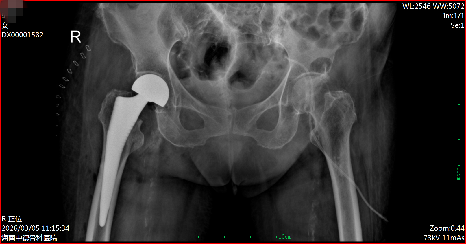
术后DR片
顺利转归 彰显综合救治实力
经过多学科无缝衔接的精心治疗与护理,患者生命体征日趋平稳,于3月7日成功转回普通病房,神志清晰,状态良好。
本例患者的成功救治,标志着我院在超高龄、极高危患者围手术期管理,尤其是急危重心肺功能支持与MDT协作方面达到了新的高度。它充分体现了我院以患者为中心,敢于担当、攻坚克难的医疗理念与综合技术实力。我院将继续砥砺前行,为更多复杂危重患者托起生命的希望。
推荐新闻
-
以辩促研 严把质量关|海南医科大学硕士研究生毕业预答辩会在我院举行
-
琼澳连心愈骨伤 妙手仁心铸口碑——澳门62岁患者时隔三月专程返琼复查赠旗 点赞手足显微外科精湛医术
-
多学科“心”守护 共闯生命禁区——我院成功为95岁严重心衰老人完成髋关节置换
-
走进医疗世界,探索职业未来——海南中学2026年寒假职场体验活动在我院圆满落幕
-
寒假微创取钉“忙” 海南中德骨科医院“隐形”手术守护青少年健康成长
-
中国非公立医疗机构协会会长钱阳明一行来院调研指导 共探自贸港背景下社会办医差异化发展路径
-
海南中德骨科医院成功举办2025年度优秀员工表彰大会
-
医疗+保险 | 我院携手海保人寿海南分公司开启惠民服务新篇章
-
我院张宗恒院长在首届脊柱外科创新技术论坛分享创新成果并荣获佳绩
-
英国兰卡斯特大学心理学荣誉研究员Stefan Reinhold VOGT博士到访我院参观交流