知名专家携手施治,我院完成一例高难度膝关节翻修手术
作者:
来自:
时间:2025-12-12 10:15:07
文章点击率:174

近日,我院成功为一名饱受膝关节术后疼痛困扰的62岁女性患者完成了高难度膝关节翻修手术。此次手术特邀国家临床骨科中心常务副主任、上海交通大学医学院附属第六人民医院关节外科主任张先龙教授亲临指导并共同主刀,标志着我院在复杂关节疾病诊疗技术上取得新的突破。

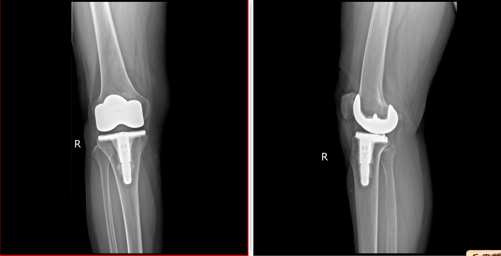
术前DR片
据悉,该患者一年前于外院接受膝关节置换术后,持续出现行走疼痛,并伴有关节卡压、伸直与弯曲困难等功能障碍,严重影响了日常生活。为解决病痛,患者曾辗转多地多家医院求医,并接受过关节镜松解手术,但效果不佳,疼痛症状未能得到有效缓解。
面对这一棘手病例,我院关节外科兼运动医学科主任付昆教授团队对患者病情进行了全面细致的评估。为确保手术成功,最大限度地改善患者生活质量,我院特别邀请国内顶级关节外科专家张先龙教授前来进行会诊和手术指导。


手术由付昆教授与张先龙教授共同主刀。术中,面对初次手术后形成的瘢痕粘连以及牢固的骨水泥固定,手术团队展现了精湛的技术。为尽可能保留患者宝贵的骨量,减少因取出原假体造成的骨缺损,付昆教授特意协调引进了先进的超声刀设备。该设备能精准、微创地清除固定假体的骨水泥,为后续重建奠定了良好的骨基础。同时,为确保翻修效果,医院还专门从广州调用了先进的翻修假体MBT袖套系统以满足手术需求。

在两位教授与手术团队的紧密配合下,手术过程顺利,原有假体被成功取出,并植入了新的翻修假体。该手术的圆满完成,体现了多学科协作及借助国内顶尖专家资源解决复杂骨科难题的优势。
此次高难度膝关节翻修手术的成功实施,不仅展现了我院关节外科在复杂关节翻修领域的技术实力,也体现了医院以患者为中心、积极整合优质医疗资源、不断提升医疗服务水平的宗旨。目前,患者正在顺利康复中。
推荐新闻
-
琼澳连心愈骨伤 妙手仁心铸口碑——澳门62岁患者时隔三月专程返琼复查赠旗 点赞手足显微外科精湛医术
-
多学科“心”守护 共闯生命禁区——我院成功为95岁严重心衰老人完成髋关节置换
-
走进医疗世界,探索职业未来——海南中学2026年寒假职场体验活动在我院圆满落幕
-
寒假微创取钉“忙” 海南中德骨科医院“隐形”手术守护青少年健康成长
-
中国非公立医疗机构协会会长钱阳明一行来院调研指导 共探自贸港背景下社会办医差异化发展路径
-
海南中德骨科医院成功举办2025年度优秀员工表彰大会
-
医疗+保险 | 我院携手海保人寿海南分公司开启惠民服务新篇章
-
我院张宗恒院长在首届脊柱外科创新技术论坛分享创新成果并荣获佳绩
-
英国兰卡斯特大学心理学荣誉研究员Stefan Reinhold VOGT博士到访我院参观交流
-
与自贸港共成长——海南中德骨科医院献礼海南自由贸易港12月18日正式启动全岛封关