春节期间,我院关节外科团队在付昆教授的带领示范下,完成首例内轴型人工膝关节置换术。
现年64岁的赵阿姨,右膝反弓步态走进科室,自述:右膝关节疼痛2年之久,行走时膝关节打软、无力,关节疼痛明显,屈伸受限。入院诊断:右膝关节骨性关节炎(IV期,反弓型)伴右侧腘静脉血栓形成、骨质疏松。

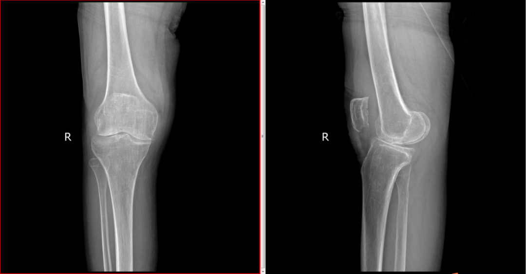
术前

术前DR片
“患者膝关节反弓,关节不稳,软骨磨损,随着年龄增大,关节的不稳定性和疼痛只会进一步加重!”付昆教授介绍,通过跟患者及家属沟通交流,在征得他们同意的情况下,计划为赵阿姨选择“内轴型人工全膝关节置换”。

术前行走与下蹲屈伸视频
他解释,传统膝关节假体设计,虽具有可观的假体生存率,但是在恢复膝关节功能上也存在一定局限性。通过高仿生内轴型人工全膝关节置换,可以让患者在屈曲运动时内侧、外侧活动更加稳定,最大程度恢复膝关节自然运动力学,给患者带去更好的本体感受。
付教授补充说:“内轴型全膝关节置换系统近20年的成功临床经验,为骨科疾病患者提供了更多、更为理想的解决方案”。
术前,关节外科团队围绕疾病的诊断、手术适应症、假体的选择方面进行了充分的讨论,并制定周密的手术方案。
针对患者“右侧腘静脉血栓”病症,经血管外科、影像科等专家会诊后,手术团队提前五天为其实施了“下腔静脉滤网植入术”,以避免凝块脱落导致肺栓塞等意外发生。

术后

术后DR片
手术如期进行,经内轴型人工全膝关节置换手术后,通过精心护理,在医护人员的指导下进行康复锻炼,术后三天患者下地行走,并能完成抬腿、屈伸等动作。
“膝关节骨关节炎是一种慢性、进行性的关节疾病,主要特征为膝关节软骨的逐渐磨损、退化和继发性的骨质增生(骨赘形成)。”付昆教授提醒,该疾病常导致关节疼痛、僵硬、肿胀和功能障碍,严重影响中老年人的身体健康,如发现家里老人有以上症状或症状加重,请及时就医,缓解患者痛苦。

推荐新闻
-
突破高龄禁区 守护晚年尊严——我院关节外科付昆教授团队成功救治多例超高龄髋部骨折患者
-
以辩促研 严把质量关|海南医科大学硕士研究生毕业预答辩会在我院举行
-
琼澳连心愈骨伤 妙手仁心铸口碑——澳门62岁患者时隔三月专程返琼复查赠旗 点赞手足显微外科精湛医术
-
多学科“心”守护 共闯生命禁区——我院成功为95岁严重心衰老人完成髋关节置换
-
走进医疗世界,探索职业未来——海南中学2026年寒假职场体验活动在我院圆满落幕
-
寒假微创取钉“忙” 海南中德骨科医院“隐形”手术守护青少年健康成长
-
中国非公立医疗机构协会会长钱阳明一行来院调研指导 共探自贸港背景下社会办医差异化发展路径
-
海南中德骨科医院成功举办2025年度优秀员工表彰大会
-
医疗+保险 | 我院携手海保人寿海南分公司开启惠民服务新篇章
-
我院张宗恒院长在首届脊柱外科创新技术论坛分享创新成果并荣获佳绩